Prepare the CT images

The primary purpose of CT and MR images in Plaque Simulator (PS) is to measure the size and curvature of the eye. This information is used to calibrate fundus camera images for fusion with the 3D model and to select a plaque model which fits the external curvature of the sclera. CT is preferable over MR because the sclera images more disinctly with CT, but either will work.

A secondary purpose of CT and MR imaging is to locate and measure the tumor. In many instances, however, the spacing between CT and MR slices is simply too great to reveal ocular tumors. Locating and measuring the tumor is best accomplished using fundus photography and ultrasound as they have much better resolution than CT or MR for this purpose. However, in the case of very anterior tumors, fundus camera photography is not possible and ultrasound alone only provides the height and shape of the tumor dome. Thus, for anterior tumors, CT or MR reconstructions are sometimes the only way to accurately determine the longitude and lattitude of the center of the tumor mass.

At minimum, Plaque Simulator expects one CT (or MR) image that bisects the eye in the meridian plane that includes the anterior pole of the eye at apex of the cornea, the posterior pole at the retina, the lens, and the optic nerve where it joins the eye. If 3D multiplanar reconstruction (MPR) is not available, this image can be closely approximated by a transverse axial CT or MR slice which bisects the eye at the nerve. Since the CT image is primarily used to determine the dimensions and shape of the eye it is not important that the tumor be visible in the slice. The image can be provided in any Quicktime compatible image file format, the most common being .jpg, or as an uncompressed DICOM file. Quicktime images (e.g. .jpg, .tif, .png) must have a calibration ruler visible in the image! Images that come on film can be digitized to .jpg files using a flatbed scanner with transparency capability.

T-MeridianPlaneFusion.png

Example of Plaque Simulator fusion of 3D model of eye and plaque with fundus photo and meridian CT reconstruction through the tumor apex with isodose lines.


Multiplanar reconstruction using OsiriX

The recommended method of preparing CT and MR images for Plaque Simulator is to use the OsiriX application to create up to 5 multiplanar reconstructions from an axial 3D series of DICOM compatible image files. The spacing between slices should be as small as possible (3 mm maximum) without losing soft tissue image quality. Try to avoid using high speed protocols that result in grainy images of the soft tissues of the eye.

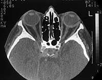
GrainyCT.png

Poor soft tissue imaging quality. The graininess makes it difficult to differentiate between soft tissues such as the sclera, tumor, vitreous and blood vessels in the optic nerve.

This is an example of good soft tissue CT imaging quality. The sclera is distinctly visible, as is the tumor. One can even identify where the optic nerve and blood vessels penetrate the eye marking the optic disc. The apex of the cornea and the lens are distinct. This enables the yellow line in the examples to project to the posterior pole.
Follow this link to the OsiriX Tutorial.

OsiriXOrthogonalPlanes.png

Old examples from film

These are some now obsolete examples of axial images which were scanned from film using either a video digitizer or a flatbed scanner with a transparency adapter.

CT2
CT3
CT4
MRI


Intermediate Tutorial | Advanced Tutorial | OsiriX Tutorial | Guide Contents