Imaging Requirements for Eye Physics Treatment Planning

CT (or MR) Imaging

An orbital CT series, using a CT technique optimized for contrast of soft tissues (ie DO NOT use a bone imaging technique) with slice thickness <= 1 mm is the best option to model the eye for posterior and equatorially located tumors. MRI provides an acceptable alternative for ciliary and iris tumors when thin slices are available.

The imaging frame should include both eyes and extend at least a cm or two inferior and superior to the orbits.

AxialCT2

An axial imaging frame that includes the involved eye and at least half of the opposite eye is also acceptable as illustrated below.

MPR

The orbital CT (or MRI) series is used to create these seven reconstructions that are used to build the 3D model of the eye. That 3D model is used to calibrate the fundus image, measure the optic nerve sheath diameter, and determine suture eyelet coordinates on the eye. If the tumor happens to be large enough to be visible in these reconstructions, the CT also provides confirmation of tumor location, shape and elevation as determined from the fundus and ultrasound imaging.

axial

Axial bisecting reconstruction. Used to determine optic disc center, nerve sheath diameter, and anterior oblateness of the eye. The sheath diameter determines how closely the plaque shell and seeds can approach the disc. This distance becomes important for extremely posterior and peripapillary tumors.


equator

Coronal bisecting reconstruction at the equator. Used to verify cylindrical symmetry


sagittal

Sagittal bisecting reconstruction. Used to verify cylindrical symmetry and anterior oblateness


t-coronal

Coronal reconstruction through the tumor apex.

t-meridian

Meridian reconstruction through the tumor apex.


nerve

Coronal plane through the posterior sclera and optic nerve. This reconstruction helps to approximate the center of the optic disc and the diameter of the sheath surrounding the optic nerve. The sheath diameter determines how closely the plaque shell and seeds can approach the disc. This distance becomes important for extremely posterior and peripapillary tumors.


n-axial

Axial bisector illustrating the nerve-coronal plane (blue axis)



Ultrasound Images

A pair of ultrasound b-scans are used to determine the elevation of the tumor. Ideally, these images should illustrate cross-sections of the longest dimension of the tumor, and a plane perpendicular to that longest dimension. Radial and circumferential cross-sections are also acceptable. Eye tumors are often not clearly visible in CT (or MR) imaging alone. Ultrasound b-scans provided the most accurate measurements and cross-sections of ocular tumors for treatment planning purposes.

US1

US2

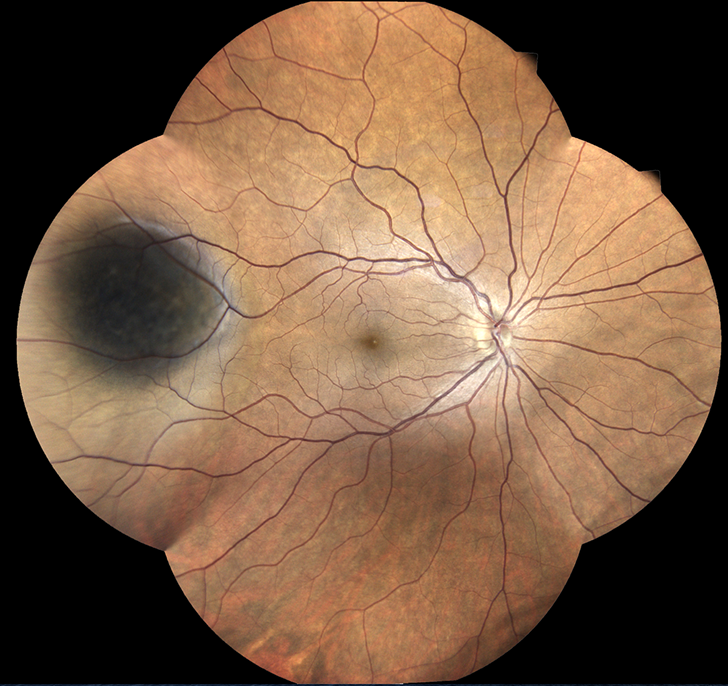
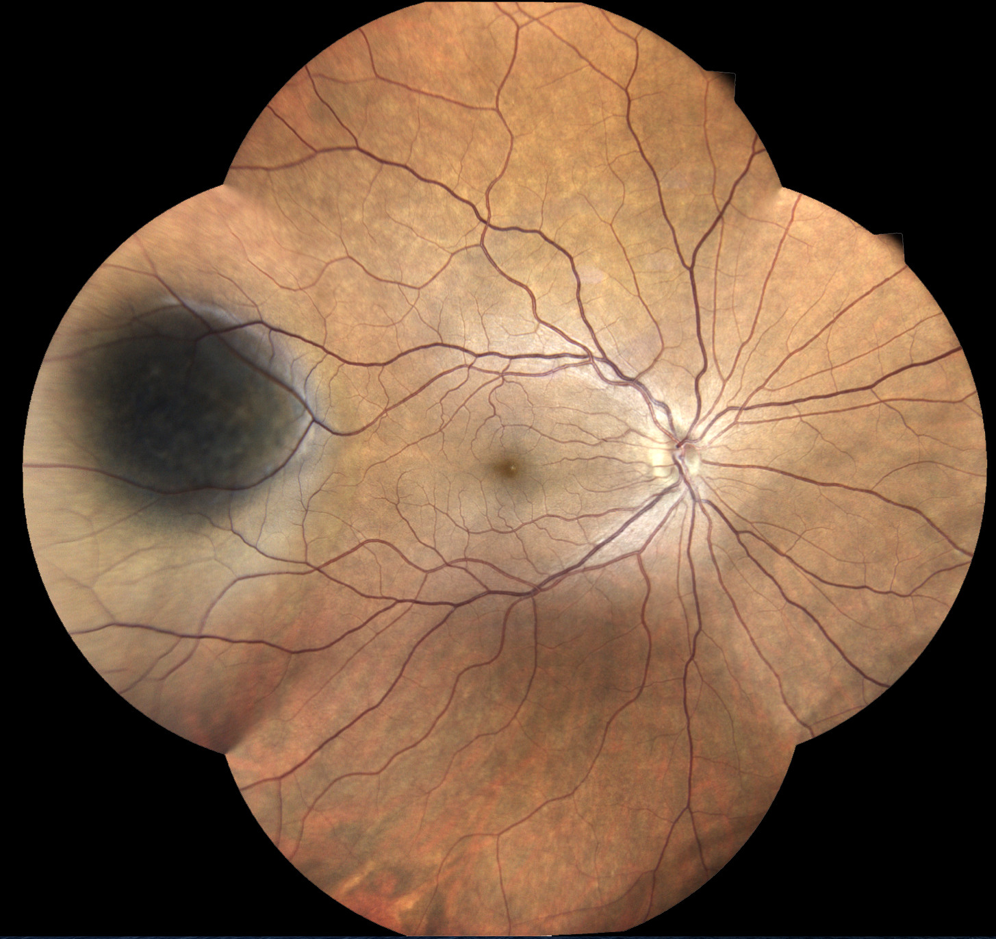
Fundus Collage or wide angle Scanning Laser Ophthalmoscopy (SLO)

A collage of fundus camera pictures that includes as much of the tumor as possible, the optic disc, and the fovea is used to map the tumor base shape and location with respect to the disc and fovea. The 3D model derived from the CT imaging provides the 3D coordinates of the fovea, center of the optic disc, and curvature of the posterior hemisphere of the eye. These parameters are used to calibrate the fundus image(s).

fundus

A wide angle Scanning Laser Ophthalmoscopy (SLO) image (e.g. Optos) is an alternative to the collage of fundus camera pictures.

SLO